Latest Updates
-
Ajker Rashifal: কেমন যাবে আজকের দিন? দৈনিক রাশিফল ৩ মে ২০২৫ -
Ajker Rashifal: আজ কোন রাশির ভাগ্যে কী আছে? দৈনিক রাশিফল ২ মে ২০২৫ -
Ajker Rashifal: আজ সারাদিন আপনার কেমন কাটবে? দৈনিক রাশিফল ১ মে ২০২৫ -
Ajker Rashifal: কেমন যাবে আজকের দিন? দৈনিক রাশিফল ৩০ এপ্রিল ২০২৫ -
Ajker Rashifal: আজ কোন রাশির ভাগ্যে কী আছে? দৈনিক রাশিফল ২৯ এপ্রিল ২০২৫ -
Ajker Rashifal: কেমন যাবে আজকের দিন? দৈনিক রাশিফল ২৮ এপ্রিল ২০২৫ -
Ajker Rashifal: আজ সারাদিন আপনার কেমন কাটবে? দৈনিক রাশিফল ২৭ এপ্রিল ২০২৫ -
Ajker Rashifal: কেমন যাবে আজকের দিন? দৈনিক রাশিফল ২৬ এপ্রিল ২০২৫ -
Ajker Rashifal: আজ কোন রাশির ভাগ্যে কী আছে? দৈনিক রাশিফল ২৫ এপ্রিল ২০২৫ -
Ajker Rashifal: আজ সারাদিন আপনার কেমন কাটবে? দৈনিক রাশিফল ২৪ এপ্রিল ২০২৫
(ছবি) ৯টি অদ্ভুদ জিনিস পাওয়া গিয়েছে মানুষের পেটে!
পৃথিবীরে এমন বহু আশ্চর্যের খবরই আমরা পাই যা আমাদের চমকে দেওয়া বা হতবাক করার জন্য যথেষ্ট। সবসময় সব কিছুর পিছনে কোনও যুক্তি পাওয়া যায় না। হয়তো ভাবছেন হঠাৎ এইসব উদ্ভট কথা কেন।
আসলে আমরা আজ যে বিষয়ে আলোচনা করতে চলেছি সেই বিষয়টাই অদ্ভুৎ। বহু মানুষেরই বিভিন্ন অখাদ্য-কুখাদ্য এমনকী যা খাবার নয় তা খাওয়ার কথাও শোনা যায়। আজ আমরা আপনাদের কাছে এমনই কিছু ঘটনার কথা তুলে ধরব বা বলা ভাল এক্স রে রিপোর্ট দেখাবো, এবং সেই ছবি দেখলে আপনি চমকে উঠবেন।
মানুষের পেটে কীসের কীসের খোঁজ পাওয়া গিয়েছে আসুন দেখে নেওয়া যাক একঝলকে

চুম্বক
৮ বছরের এক শিশুর পেটে মিলল একাধিক ছোট ছোটো চুম্বক। আর তার জেরে প্রায় প্রাণ যায় যা অবস্থা হয়ে গিয়েছিল শিশুটির। বাড়ির মেঝেতে চকচকে চুম্বক পড়ে থাকতে দেখে সে তা খেয়ে ফেলে। আর তাতেই বিপত্তি।

কাটাচামচের সেট
নেদাল্যান্ডের এক মহিলার পেটে ব্যাথার চিকিৎসা করতে গিয়ে তার পেটে এক্স-রে করে হতবাক ডাক্তাররাই। ওই মহিলার পেট থেকে মোট ৭২টি বিভিন্ন আকার আয়তনে চামচ কাটাচামচ পাওয়া গিয়েছে।

পেরেক
এক কাঠের মিস্ত্রি চীনে ভুলবশত পেরেক গিলে ফেলেছিলেন। সেই পেরেখ তার ফুসফুসে আসকে যাওয়ায় বিপত্তি হয়েছিল। অনেক সাবধানে এবং জটিল পদ্ধতিতে এই পেরেখ বের করা হয়েছিল।

হাতবোমা
অনেক সময় চোরা চালানকারীরা পেটে জিনিসপত্র লুকিয়ে পাচার করে। কিন্তু এক জঙ্গি পেটে হাত বোমা দেখা গিয়েছিল।

বাল্ব
এক পাকিস্তানি কারাবন্দী ব্যক্তির পেটে মস্ত আকারের একটি লাইট বাল্ব পাওয়া গিয়েছিল।

ড্রাগ
মেথামফেটামাইনের ৫২টি ক্যাপসুল পেটের ভিতর করে নিয়ে গিয়ে পাচার করতে যাচ্ছিল এক নাইজেরিয়ার ব্যক্তি। বিমানবন্দরে ধরা পড়ে সে। এরপর এক্সরে -তে যে ছবি সামনে এল তা ভয়ঙ্কর।

ব্যাটারি
১৩ মাসের এক শিশু ব্যাটারি খেয়ে ফেলেছিল। আর তার জেরেই মৃত্যু হয় তার। ছোটদের ক্ষেত্রে এই সমস্যা খুব সাধারণ। তাই এক্ষেত্রে আরও সাবধানি হওয়া উচিত।

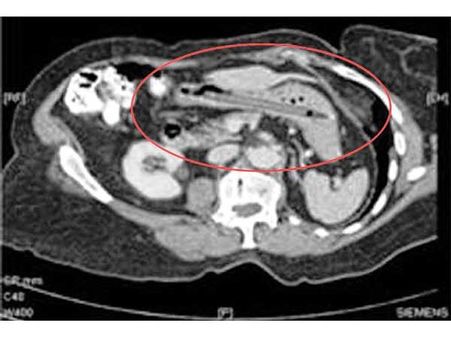
কলম
৭৬ বছরের এক মহিলার পেটে অসম্ভব যন্ত্রণা শুরু হয়। ডাক্তার তার এক্স রে রিপোর্টে দেখেন পেটের মধ্যে একটি কলম রয়েছে। ২৫ বছর ধরে ওই কলমটি তার পেটের মধ্যেই ছিল। এবং সবচেয়ে অবাক বিষয় হল কলমটি ওই মহিলার পেট থেকে বের করার পর দেখা যায়।

চাবি
মদ্যপ অবস্থায় ১৮ বছরের এক কম্পিউটার ডিজাইনার নিজের বাড়ির চাবি গিলে খেয়েছিল। ৩১ ঘন্টা পরে মূত্রের সঙ্গে চাবিটি তার শরীর থেকে বেরিয়েছিল।



Click it and Unblock the Notifications