Latest Updates
-
Ajker Rashifal: কেমন যাবে আজকের দিন? দৈনিক রাশিফল ৩ মে ২০২৫ -
Ajker Rashifal: আজ কোন রাশির ভাগ্যে কী আছে? দৈনিক রাশিফল ২ মে ২০২৫ -
Ajker Rashifal: আজ সারাদিন আপনার কেমন কাটবে? দৈনিক রাশিফল ১ মে ২০২৫ -
Ajker Rashifal: কেমন যাবে আজকের দিন? দৈনিক রাশিফল ৩০ এপ্রিল ২০২৫ -
Ajker Rashifal: আজ কোন রাশির ভাগ্যে কী আছে? দৈনিক রাশিফল ২৯ এপ্রিল ২০২৫ -
Ajker Rashifal: কেমন যাবে আজকের দিন? দৈনিক রাশিফল ২৮ এপ্রিল ২০২৫ -
Ajker Rashifal: আজ সারাদিন আপনার কেমন কাটবে? দৈনিক রাশিফল ২৭ এপ্রিল ২০২৫ -
Ajker Rashifal: কেমন যাবে আজকের দিন? দৈনিক রাশিফল ২৬ এপ্রিল ২০২৫ -
Ajker Rashifal: আজ কোন রাশির ভাগ্যে কী আছে? দৈনিক রাশিফল ২৫ এপ্রিল ২০২৫ -
Ajker Rashifal: আজ সারাদিন আপনার কেমন কাটবে? দৈনিক রাশিফল ২৪ এপ্রিল ২০২৫
'দিল বেচারা'-র ম্যানি আক্রান্ত ছিলেন অস্টিওসারকোমাতে, জানুন এই রোগের লক্ষণ ও চিকিৎসা সম্পর্কে
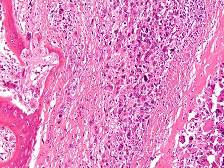
সম্প্রতি মুক্তি পেয়েছে সুশান্ত সিং রাজপুত ও সঞ্জনা সাঙ্ঘি অভিনীত 'দিল বেচারা' সিনেমাটি। ছবির গল্প এবং অভিনয় মন ছুঁয়ে গেছে দর্শকের। সিনেমাতে দেখা গেছে এই দুই তরুণ অভিনেতা দুই ধরনের ক্যান্সারে আক্রান্ত। এখানে সুশান্ত সিং রাজপুত অর্থাৎ ম্যানি একজন অস্টিওসারকোমা রোগীর চরিত্রে অভিনয় করেছেন। যিনি চেয়েছিলেন তার জীবনকে পুরোপুরিভাবে উপভোগ করতে, কিন্তু সিনেমার শেষে দেখা যায় প্রাণচঞ্চল এই ছেলে মৃত্যুর মুখে ঢলে পড়েন। ফলে অনেকের মনে প্রশ্ন জাগে কী এই অস্টিওসারকোমা? যার কবলে পড়ে মৃত্যু হল ম্যানির। চলুন তবে জেনে নেওয়া যাক এই রোগটির সম্পর্কে।


অস্টিওসারকোমা কী?
সার্কোহেল্প (Sarcohelp.org) এ প্রকাশিত একটি রিপোর্ট অনুযায়ী, অস্টিওসারকোমা হল এক ধরনের হাড়ের ক্যান্সার বা বোন ক্যান্সার, যা শরীরের লম্বা হাড়ে হতে দেখা যায়। আক্রান্ত স্থানে টিউমারের মত ফুলে যায়। ক্যান্সার সোসাইটি জানাচ্ছে যে, সমস্ত হাড় সংক্রান্ত ক্যান্সারের মধ্যে অস্টিওসারকোমা-ই সবথেকে বেশি হতে দেখা যায়। এটি মূলত হাড়ের অস্টিওব্লাস্ট কোষে দেখা যায়।

কাদের মধ্যে বেশি দেখা যায়?
এটি সব থেকে বেশি দেখা যায় শিশু ও কিশোর বয়সে। মূলত টিন-এজারদের মধ্যে এই রোগের লক্ষণ প্রকাশ পায়। যদিও অস্টিওসারকোমা যেকোনও বয়সে যে কারোর মধ্যেই দেখা দিতে পারে। মহিলাদের তুলনায় পুরুষদের এই রোগে আক্রান্ত হওয়ার সম্ভাবনা বেশি থাকে। বয়স্কদের মধ্যে এই রোগ দেখা দিলে রক্ত প্রবাহের মাধ্যমে ক্যান্সার কোষ শরীরের অন্যান্য অস্থিতে ছড়িয়ে পড়ে।

শরীরের কোথায় কোথায় দেখা যায়?
জন হপকিন্স মেডিসিন এর মতে, এই ক্যান্সারে সবচেয়ে বেশি ক্ষতিগ্রস্ত হয় হাঁটুর চারপাশ। এছাড়াও, পায়ের ওপরের অংশে বা থাইতে, পায়ের নীচের অংশে, বাহুর হাড়, কাঁধ ও মাথার খুলিতেও দেখা যায়।

অস্টিওসারকোমা হওয়ার কারণ কী?
সার্কোহেল্প (Sarcohelp.org) এর রিপোর্ট অনুযায়ী, এখনও পর্যন্ত এই রোগের সঠিক কারণ আবিষ্কার করা যায়নি। তবে অস্থিমজ্জা প্রতিস্থাপন, হাড় ইমপ্লান্ট, হাড়ে জোরালো আঘাত এবং জিনগত কোনও রোগ, ইত্যাদি কারণে এটি দেখা দিতে পারে।

প্রকারভেদ
অস্টিওসারকোমাকে তিন ভাগে ভাগ করা হয়।
১) হাই গ্রেড
২) ইন্টারমিডিয়েট গ্রেড
৩) লো গ্রেড

রোগের লক্ষণ
১) আক্রান্ত হাড়ে ব্যথা এবং ফোলাভাব।
২) সময়ের সাথে সাথে এই ব্যথা বাড়ে।
৪) পায়ের হাড়ে হলে মাঝেমাঝেই খুঁড়িয়ে চলতে হয়।
৫) অসুখটি খুব বেড়ে গেলে হাড় ভেঙেও যেতে পারে এবং অসহ্য যন্ত্রণা হয়।

রোগ নির্ণয় ও চিকিৎসা
লক্ষণগুলির উপর ভিত্তি করে পরিবার এবং ব্যক্তিগত ইতিহাস জানার পর একটি পরীক্ষার মাধ্যমে এই রোগ নির্ণয় করা হয়। রোগ নির্ণয় সংক্রান্ত পরীক্ষাগুলি এক বা একাধিক বার করতে হতে পারে। বায়োপসি, এক্স-রে, বোন স্ক্যান, এমআরআই, সিটি স্ক্যান এর মাধ্যমে নির্ণয় করা হয়।
আক্রান্ত ব্যক্তির শারীরিক অবস্থার উপর নির্ভর করে এবং ক্যান্সারের স্টেজ এর উপর ভিত্তি করে কেমোথেরাপি ও রেডিয়েশন থেরাপির মাধ্যমে চিকিৎসা করা হয়। এছাড়াও সার্জারির মাধ্যমে এই রোগের চিকিৎসা করা হয়।



Click it and Unblock the Notifications